Có 2 cầu răng sứ và 2 trụ implant thì có niềng răng được không? Câu trả lời là vẫn niềng răng được nha, không những niềng răng mắc cài mà còn niềng răng trong suốt Invisalign được luôn ạ 

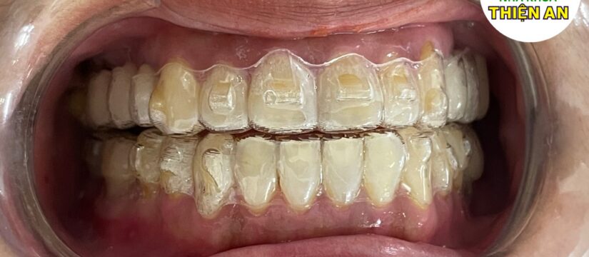
Kết quả sau 8 tháng niềng răng trong suốt Invisalign cho c Q. (40 tuổi). Giờ chỉ còn tinh chỉnh thêm 1 chút nữa là xong. Tình trạng trước điều trị: một số răng cửa bị cắn ngược, cắn đối đầu, răng chen chúc nhẹ, có 2 cầu răng sứ và 2 trụ implant ….
If I have 2 porcelain bridges and 2 implants, can I get braces? The answer is you can still get braces, not only braces but also Invisalign braces ❤️❤️
Results after 8 months of Invisalign clear braces for c. Q. (40 years old). Now just a little more tweaking and it’s done. Condition before treatment: some front teeth were bitten back, biting head to head, teeth were slightly crowded, there were 2 porcelain bridges and 2 implants….
tại nha khoa Thiện An BMT – Đăk Lăk, 94 Nguyễn Tất Thành (đối diện Bitis)
- CK2 Huỳnh Thanh Trung– Giám đốc Nha Khoa Thiện An, Nguyên Trưởng Khoa Răng Hàm Mặt, BVĐK Vùng Tây Nguyên
- ThS.Bs Nguyễn Thị Bích Ngọc, Nguyên Giảng viên Khoa Y Dược, Trường Đại Học Tây Nguyên trực tiếp điều trị.
at Thien An Dental Clinic BMT – Dak Lak, 94 Nguyen Tat Thanh (opposite Bitis)
- CK2 Huynh Thanh Trung- Director of Thien An Dental Clinic, Former Head of Odonto-Stomatology Department, Central Highlands General Hospital
- Mrs.Dr Nguyen Thi Bich Ngoc, Former Lecturer of Faculty of Medicine and Pharmacy, Central Highlands University directly treated.
Kinh nghiệm nhiều năm
Nhẹ nhàng, không đau, chất lượng
Tận tâm, an toàn, uy tín
Giảm đến 30% các dịch vụ.
Years of experience
Gentle, painless, quality
Dedication, safety, prestige
Up to 30% off services.
#cayghepbmt #implantbmt #niengrangbmt #chinhnha #veneer #rangsuthammy #thietkenucuoi
#nhorangkhongdau #invisalignvietnam
#bsck2huynhthanhtrung #thsbichngoc
———————————————–
Nha Khoa Thiện An, TP. Buôn Ma Thuột, Daklak
Đc: 94 Nguyễn Tất Thành, p. Tân Lập, TP. Bmt
Sđt: 02623886679

